Osocze bogatopłytkowe
(1 probówka, okolica podania - Twarz)
Jego głównym celem jest biostymulacja komórek skóry. Osocze, które jest pozyskiwane z krwi pacjenta, zawiera liczne czynniki wzrostu. Stymulują one namnażanie i dojrzewanie komórek naskórka. Dzięki aktywacji mikrokrążenia skóra jest napięta i nawilżona. Terapia osoczem bogatopłytkowym polecana jest pacjentom, którzy szczególną uwagę przykładają do naturalnych rozwiązań w medycynie estetycznej.
Dzięki zabiegowi z wykorzystaniem osocza bogatopłytkowego możliwe jest spłycenie zmarszczek z miejsc takich jak: okolice oczu (usuwanie tzw. kurzych łapek); okolice czoła; policzków; nosa i okolic ust. Dotyczyć to może także redukcji zmarszczek w obrębie szyi, dekoltu czy dłoni.
Jak przebiega zabieg?
Sam zabieg z użyciem osocza bogatopłytkowego trwa około 1 godziny. Przed wykonaniem wstrzykiwań, lekarz medycyny estetycznej musi pobrać od pacjentki około 8 ml krwi. Następnie musi oddzielić erytrocyty (czerwone krwinki) od osocza zawierającego płytki krwi. Lekarz wykorzystuje wówczas specjalistyczną wirówkę zawierającą odpowiedni jałowy żel – dzięki temu zachodzi rozdział krwinek od osocza zawierającego trombocyty (płytki krwi). Lekarz medycyny estetycznej lub dermatolog za pomocą iniekcji wprowadzi bezpośrednio do skóry preparatu osocza bogatopłytkowego.
Cena PROMOCYJNA 499zł

Pakiet Higienizacyjny
Zabieg higienizacji zębów to profilaktyczne oczyszczanie, usuwanie osadów oraz kamienia nazębnego. Składa się z kilku etapów:
Cena PROMOCYJNA 249zł

Pakiet Higienizacja + Wybielanie BlancOne Click
Preparat BlancOne CLICK jest jedynym preparatem wybielającym, który można stosować zaraz po zabiegu higienizacji. Gwarantowane, niskie stężenie związku wybielającego (16% nadtlenek karbamidu), szkliwo nie jest zniszczone i nie potrzebuje regeneracji. Dedykowane dla pacjentów, którzy chcą rozjaśnić delikatnie zęby, bądź chcą odświeżyć efekt poprzedniego wybielania.
|
|
Skorzystaj z pakietu i ciesz się perfekcyjnie białym uśmiechem!
Cena PROMOCYJNA 499zł
BlancOne Click to idealne uzupełnienie higienizacji jamy ustnej!
Wybielanie BlancOne Touch
Preparat BlancOne Touch jest to powiększona wersja preparatu BlancOne Click
|
|
Cena PROMOCYJNA 799zł
Pakiet z Higienizacją 849zł

Wybielanie Beyond Polus Advanced
Polega na nałożeniu na zęby specjalnego preparatu, zawierającego w swoim składzie nadtlenek wodoru, a następnie poddaniu go działaniu lampy Beyond Polus. Pod wpływem emitowanych przez nią ultradźwięków oraz światła (charakteryzuje się ona innowacyjnym połączeniem procesu kawitacji oraz technologii Lightbride) dochodzi do rozpadu cząsteczek nadtlenku wodoru i uwolnienia związków aktywnych, które następnie wnikają w głąb zęba, usuwając przebarwienia. Co ważne, żadnemu naruszeniu nie ulega naturalna struktura zęba – zabieg nie niesie ze sobą skutków ubocznych w postaci osłabienia zęba czy uszkodzeń szkliwa.
|
|
Cena PROMOCYJNA 799zł
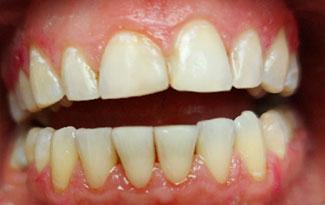
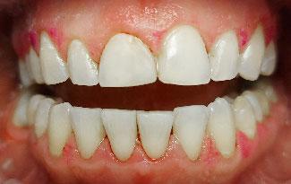
| Przed wybielaniem | Po wybielaniu |
![]() |
![]() |